La Fractura del 5 Metatarsiano es una lesión muy frecuente, sobre todo en deportes de contacto y/o de alto impacto. El 5 Metatarsiano es uno de los 5 huesos largos que tenemos en el pie, que unen el talón con cada uno de los dedos del pie.
El pie es una estructura compleja, compuesta por muchos huesos y articulaciones. También cuenta con muchos músculos, tendones y ligamentos que darán estabilidad a todas las piezas del puzle que forma la anatomía del pie. Pero como el 5 Metatarsiano del Pie es un hueso, vamos a ver las estructuras Óseas que componen el pie para ubicarnos y saber de qué estamos hablando.
El pie está compuesto por 26 huesos en total. Estos huesos se dividen en 3 grupos, que son el Tarso, el Metatarso y las Falanges. Dentro del grupo del Tarso, encontramos 7 Huesos (Astrágalo, Calcáneo, Cuboides, Navicular y los Primero, Segundo y Tercer Cuneiformes), estos son los que están “debajo de la pierna”. Después encontramos el Metatarso, que está formado por 5 huesos largos que unen el Tarso con las Falanges, estos son los que están en la zona del empeine. Y finalmente encontramos las Falanges, que son los huesos de los dedos de los pies.

Aunque existen diferentes tipos de Fractura del 5 Metatarsiano, los dos tipos de fractura más comunes son:
1) Fractura por Avulsión: En este caso, un tendón o un ligamento arrancarán un trocito del hueso de la porción principal del 5 Meta. Generalmente, esto se da en los esguinces de la parte externa del tobillo. El problema de estas fracturas es que se “Infradiagnostican”, puesto que solemos quedarnos en el esguince de tobillo.
2) Fractura de Jones: En este caso, la factura se producirá en la zona central del 5 Metatarsiano, la “Zona de Tensión”, que es la zona que menos flujo sanguíneo recibe, por lo que suele ser la lesión que más tardará en sanar. Dentro de este tipo de fracturas, podemos encontrar la fractura por Compresión, que será una fractura muy finita y muy pequeña que irá apareciendo gradualmente, o una fractura Aguda, que aparecerá de golpe.

CAUSAS
La fractura del 5 Metatarsiano suele darse en deportes de contacto y/o alto impacto. Algunas de las causas más comunes de esta patología son:
1) Traumatismos Directos: Golpes directos en el pie, que pueden darse tanto en la práctica deportiva como en un accidente de tráfico, por ejemplo.
2) Sobrecarga: La fractura por estrés es una de las causas más comunes cuando tenemos una Fractura del 5 Metatarsiano. Esto ocurre cuando se ejerce una carga excesiva sobre el 5 Metatarsiano, como, por ejemplo, correr o saltar de manera repetitiva. Esto nos lleva a deducir que este tipo de fracturas es muy común en corredores de trail de larga distancia, por ejemplo.
3) Lesiones Deportivas: Los movimientos bruscos, como giros o cambios de dirección repentinos, pueden ejercer una presión excesiva en el 5 Metatarsiano y provocar su fractura. Esto se da, sobre todo, en deportes de alto impacto, como el Fútbol, el Baloncesto o el Ballet.
4) Esguinces de Tobillo: En algunos casos, la Fractura del 5 Metatarsiano puede ir de la mano de un esguince de tobillo, puesto que, al girar el tobillo, se puede producir tanta tensión en los ligamentos que provoque una fractura por avulsión, arrancando un pequeño trocito del hueso del 5 Meta.
SÍNTOMAS
Los síntomas de la Fractura del 5 Metatarsiano pueden variar, como en todas las patologías, dependiendo de la gravedad de la lesión que tengamos, pero los más comunes son:
1) Dolor intenso en la parte externa del pie, que dificulta la marcha
2) Inflamación
3) Hematoma

DIAGNÓSTICO
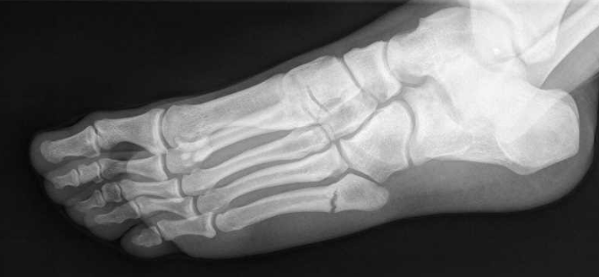
En estos casos, el diagnóstico de fractura del 5 Metatarsiano se basará, principalmente, en las pruebas de imagen, concretamente, en la Radiografía, aunque también tendremos que tener en cuenta la evaluación clínica para saber de qué manera se ha producido la lesión. Por otro lado, las pruebas adicionales, como puede ser la Resonancia Magnética, nos van a ayudar a evaluar la gravedad de la lesión y a descartar otras lesiones más graves.

COMPLICACIONES
Una de las complicaciones más frecuentes cuando nuestro paciente tiene una fractura del 5 Metatarsiano puede ser el Retardo de la Consolidación de la fractura, que se da por la pobre irrigación sanguínea del hueso, pero también se ve afectada por la gravedad de la lesión, la inmovilización inadecuada (o inexistente) y/o la presencia de otros problemas de salud que afectan a la cicatrización ósea.
En algunas ocasiones nos podemos encontrar, incluso, con una no-unión de la fractura, es decir, que el hueso no vuelva a ser una sola pieza. Esto puede llegar a requerir una intervención quirúrgica para arreglarlo. En ciertos casos, en el lugar donde debería haberse formado el callo óseo, encontramos un tejido fibroso, en ese caso, estaremos ante una Pseudoartrosis, lo que causará dolor crónico y limitará la función del pie.
Cuando la fractura es desplazada o conminuta, podemos llegar a encontrar una deformidad residual en el pie que afecte a la alineación del pie y pueda llegar, incluso, a comprometer su función. En estos casos, es posible que se necesite cirugía para reconstruir la fractura.
TRATAMIENTO
El tratamiento de la Fractura del 5 Metatarsiano va a variar dependiendo, no solo del grado de lesión que tengamos, sino también de la ubicación de la fractura, del tipo de fractura (como hemos visto antes, hay 2 tipos principales de fractura en este hueso, las fracturas por avulsión y las fracturas de Jones).
En los casos más leves, es decir, en aquellos que no haya desplazamiento, se inmovilizará con un yeso o una bota de protección para permitir que el hueso pueda sanar.
En los casos más graves, podría ser necesario intervenir quirúrgicamente para estabilizar el pie con un fijador y, así, poder acelerar el proceso de curación.
El tratamiento fisioterápico será súper importante en estos casos, puesto que, durante el proceso de curación, deberemos fortalecer la musculatura del pie, para darle estabilidad y evitar problemas derivados de la debilidad muscular, y mejorar la movilidad del pie en conjunto.
En el momento en el que hay consolidación ósea del 5 Metatarsiano y el paciente puede cargar peso sobre el pie afectado, empezaremos la rehabilitación. En este primer punto, nos centraremos en mejorar la rigidez articular mediante técnicas de movilización y estiramientos, en reducir la inflamación a través de las técnicas de Drenaje Linfático Manual y en eliminar todas las molestias o dolores que pueda notar nuestro paciente con técnicas de terapia manual.
Seguiremos avanzando con los ejercicios de fortalecimiento para la musculatura de la pierna y del pie. Esto nos ayudará a volver a tener la estabilidad que tenía la pierna antes de la fractura gracias a la potenciación muscular. Este punto será muy importante para prevenir la atrofia muscular.
Después de esto empezaremos con la reeducación de la marcha y de la función del pie. Esto lo haremos con ejercicios de equilibrio y propiocepción, que iremos complicando según vayamos avanzando en la recuperación.
El tiempo de curación de la fractura del 5 Metatarsiano puede variar, como vimos que podían variar las fracturas de todos los huesos en una entrada anterior en el blog, pero generalmente suele llevar entre 6 y 12 semanas.
PREVENCIÓN DE LA FRACTURA DEL 5 METATARSIANO
En el caso de la Fractura del 5 Metatarsiano, es súper importante la prevención en el ámbito deportivo, como, por ejemplo, utilizar el calzado adecuado para cada deporte que nos ayude a protegernos en caso del deporte de contacto o a tener una mala pisada, por ejemplo. Evitar movimientos bruscos y, sobre todo, realizar ejercicios concretos de fortalecimiento de la musculatura del pie y la pierna son dos factores muy importantes en la prevención de esta patología.
Os dejo un artículo que habla sobre la importancia del calzado adecuado en el ámbito deportivo que me ha gustado mucho.

